Tẩy trắng răng – những điều bạn cần lưu ý
Hầu hết mọi người ai cũng mong muốn mình sở hữu một hàm răng trắng sáng và khỏe mạnh. Hàm răng đẹp không chỉ tạo nên sự tự tin khi giao tiếp mà còn tăng thẩm mỹ khuôn mặt và tạo được ấn tượng tốt với người khác. Tuy nhiên theo thời gian, răng sẽ không còn độ sáng bóng, do 2 nguyên nhân chính:
Nhiễm màu ngoại lai :
Thường xuyên sử dụng các thực phẩm, đồ uống có màu đậm như socola, trà, cafe, nước ngọt, cà ri, sốt cà chua….
Thói quen hút thuốc lá gây ra tình trạng răng xỉn màu, ố vàng.
Vệ sinh răng miệng kém khiến thức ăn thừa, vi khuẩn bám vào men răng làm răng sậm màu.

Nhiễm màu nội sinh:
Do tuổi tác: Sự tích tụ các sắc tố gây sậm màu theo thời gian
Do các bệnh lý răng miệng: Cao răng mảng bám, hoặc chết tủy làm răng đổi màu.
Do nhiễm Fluoride: Sử dụng nguồn nước hay dùng quá nhiều kem đánh răng có nồng độ Fluoride cao cũng có thể làm đổi màu cấu trúc răng.
Do dùng dược phẩm: Đây là nguyên nhân gây xỉn màu răng nặng nhất. Thường gặp các thuốc tetracycline, các hoạt chất trong kháng sinh tetracycline khuếch tán vào mô canxi hóa mới hình thành khiến răng bị nhiễm màu với 4 mức độ vàng – nâu- xám- tím.

Vậy chúng ta phải làm thế nào để giữ một hàm răng khỏe mạnh, trắng sáng và nụ cười tỏa nắng?
1. Tẩy trắng răng là gì?
Tẩy trắng răng là một kỹ thuật nha khoa giúp răng trắng sáng hơn so với màu răng ban đầu một cách an toàn.
Phương pháp thực hiện theo nguyên lý dùng chất oxy hóa (Carbamide Peroxide hoặc Hydrogen Peroxide) cho thấm qua lớp men, có thể kết hợp với ánh sáng Halogen hoặc Laser để tạo ra phản ứng oxy hóa cắt đứt các chuỗi phân tử tạo màu trong lớp ngà răng, giúp răng trắng sáng hơn mà không làm tổn hại đến bề mặt cũng như cấu trúc mô răng.

2. Tẩy trắng răng có hại không?
Tẩy trắng răng có hại không, tẩy trắng răng có làm mòn men không? Đây là các câu hỏi rất hay gặp của khách hàng khi nhắc tới phương pháp tẩy trắng răng. Tẩy trắng răng được nghiên cứu là an toàn cho sức khỏe răng miệng, không làm hại men răng, không làm thay đổi cấu trúc răng nếu thực hiện đúng cách. Để đảm bảo an toàn và đạt kết quả tối ưu bạn nên đến các phòng khám nha khoa để tham khảo lời khuyên cũng như được giám sát bởi bác sĩ.
Hầu hết mọi người đều có thể tẩy trắng răng, trừ một số trường hợp:
- Phụ nữ mang thai và cho con bú
- Trẻ em dưới 16 tuổi
- Người đang mắc các bệnh viêm nha chu, sâu răng, mòn cổ răng…
- Người có dấu hiệu dị ứng với thuốc tẩy trắng
Trên thực tế có khá nhiều trường hợp cảm thấy ê buốt sau khi tẩy trắng răng. Tuy nhiên, đây là triệu chứng bình thường, không nguy hiểm, gặp ở 60% số ca tẩy trắng. Vì ở ngà răng có các ống ngà có chức năng dẫn truyền cảm giác nên khi bị tác động nó sẽ gây ê buốt ở mức độ nhẹ trong vài ngày, không có gì đáng lo ngại.
3. Các phương pháp tẩy trắng răng hiện nay?
Hiện trong nha khoa, có hai phương pháp tẩy trắng răng phổ biến:
Đeo máng tẩy trắng răng tại nhà: Đây là phương pháp đơn giản, bác sĩ sẽ lấy mẫu răng và làm máng nhựa mềm trong suốt phù hợp với bộ răng của từng bệnh nhân. Bác sĩ sẽ cung cấp thuốc tẩy trắng có nồng độ từ 10 -15% và hướng dẫn chi tiết cách sử dụng máng tẩy cũng như xử lý các tình huống có thể xảy ra. Phương pháp này phù hợp với người có răng nhiễm màu cấp độ nhẹ do ngoại lai hoặc tuổi tác.
Ưu điểm là bệnh nhân có thể chủ động thời gian (đeo máng từ 2-3 giờ mỗi ngày bất cứ khi nào), chi phí rẻ.
Nhược điểm không đạt hiệu quả tẩy trắng với những trường hợp nhiễm màu nặng.

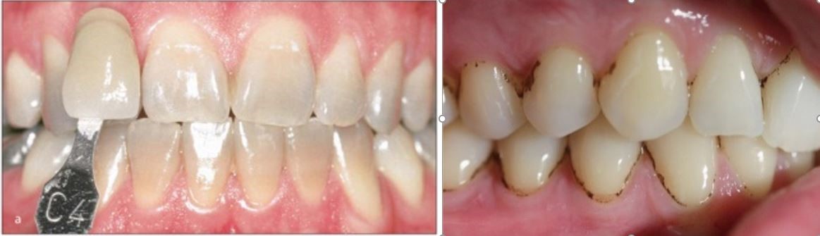
Hình ảnh thực hiện tẩy trắng tại Nha khoa Nhân Hòa
Tẩy trắng tại phòng khám: Đây là kỹ thuật được bác sĩ thực hiện trực tiếp trên miệng bệnh nhân. Bác sĩ sử dụng thuốc nồng độ cao (30-37%), có thể kết hợp với năng lượng ánh sáng cường độ mạnh như Halogen hay Laser, lợi và mô mềm được cách ly bảo vệ kỹ lưỡng. Chỉ định cho những trường hợp nhiễm màu nặng, màu vàng sậm, nhiễm màu tetra mức độ nhẹ và vừa.
Ưu điểm vượt trội của phương pháp này là được hiện nhanh chóng dưới sự kiểm soát của bác sĩ; tác dụng tẩy trắng cao.
Nhược điểm : Chi phí cao hơn.
Ngoài hai phương pháp trên, cũng có thể làm trắng răng bằng kem đánh răng, nước súc miệng, kẹo nhai, miếng dán có thành phần bao gồm thuốc tẩy trắng nồng độ thấp.. tuy nhiên hiệu quả trắng răng thấp, thời gian tác dụng ngắn.
4. Lưu ý gì khi tẩy trắng răng?
Trước khi tẩy trắng cần làm sạch cao răng, điều trị dứt điểm sâu răng, viêm lợi, viêm nha chu, phục hồi các cổ răng bị mòn, chống ê buốt nếu răng quá nhạy cảm.
Thuốc tẩy trắng chỉ có tác dụng với răng thật. Với những người có răng bọc sứ, nên trao đổi với bác sĩ trước khi thực hiện tẩy trắng.
Hiệu quả tẩy trắng răng phụ thuộc vào nguyên nhân và mức độ nhiễm màu răng. Trường hợp nhiễm màu nặng có thể kết hợp cả 2 phương pháp tẩy trắng tại phòng khám và tại nhà.
Triệu chứng ê buốt sau tẩy trắng được coi là bình thường. Bạn có thể gặp tình trạng này sau khi thực hiện liệu trình. Nếu ê buốt nhiều có thể liên hệ với bác sĩ.
Sau tẩy trắng 2 tuần nên kiêng thực phẩm và đồ uống có màu, tránh uống nước quá nóng hoặc quá lạnh, chăm sóc răng miệng thật kỹ tránh nhiễm màu trở lại.
Tẩy trắng răng tuy là kỹ thuật thường quy trong nha khoa, tuy nhiên để an toàn và đạt hiệu quả thẩm mỹ cao nhất, bạn phải được thực hiện ở cơ sở y tế và nha khoa uy tín, máy móc trang thiết bị đầy đủ, bác sĩ có chuyên môn cao với quy trình vô cùng nghiêm ngặt.
Hi vọng với những thông tin trên có thể giải đáp được các thắc mắc của bạn. Hãy đến ngay phòng khám Nha Khoa Nhân Hòa để nha sĩ tiến hành kiểm tra và đưa ra các chỉ định kịp thời.
PHÒNG KHÁM NHA HOA NHÂN HÒA
- Địa chỉ: 149 Đặng Thái Thân – TP Vinh – Nghệ An
- Hotline : 0238.625.8686 - 092.795.8668
- Fanpage: https://www.facebook.com/nhakhoanhanhoa - Nha khoa Nhân Hòa – Ths.Bs.Đại học Y Hà Nội
